当前位置:首页>人才>正畸市场需求爆发下的精英人才培养—— 正畸学科精英进修班学习规划与行业价值分析

正畸市场需求爆发下的精英人才培养—— 正畸学科精英进修班学习规划与行业价值分析

  • 2026-02-03 13:56:04
正畸市场需求爆发下的精英人才培养—— 正畸学科精英进修班学习规划与行业价值分析
随着我国国民经济水平的持续提升与口腔健康意识的全面觉醒,口腔正畸行业迎来了前所未有的发展黄金期。
从青少年错颌畸形的早期干预,到成人美观化正畸的需求爆发,从传统固定矫治的技术优化,到隐形正畸、数字化正畸的革新迭代,正畸已从“小众美容项目” 转变为全民关注的口腔健康与美学刚需。
然而,与旺盛的市场需求形成强烈反差的是,我国正畸专业人才供给严重不足,具备系统理论知识、扎实临床实操能力与规范诊疗素养的精英正畸医生更是稀缺。
在此背景下,博康泰医生集团联合极周在线推出的正畸学科精英进修班,以科学的课程体系、资深的师资力量、完善的培养规划,为正畸从业者搭建了从入门到精通的成长阶梯,既精准回应了市场对专业人才的迫切需求,也为学员规划了清晰的职业发展路径。
本文将从正畸市场需求的核心维度与学员学习规划的科学逻辑两方面,深度解析该进修班的行业价值与培养意义。

一、正畸市场需求:从“刚需扩容” 到 “人才缺口” 的行业现状

(一)消费人群全面扩容,正畸需求呈多元化增长

正畸的核心服务人群已突破传统青少年范畴,实现全年龄段覆盖,需求呈现“量增质升” 的双重特点。一方面,青少年错颌畸形的早期干预成为家长关注的重点,《中国儿童口腔健康流行病学调查报告》显示,我国儿童及青少年错颌畸形患病率超 70%,但治疗率不足 20%,大量替牙期儿童的错颌问题未得到及时干预,早期矫治的市场潜力亟待释放。
另一方面,成人正畸需求爆发式增长,隐形矫治技术凭借无托槽、可摘戴、美观度高的优势,打破了成人对正畸 “不美观、不舒适” 的固有认知,职场人士、中年群体为改善咬合功能、面部美观选择正畸的比例逐年攀升,成人正畸占比已从过去的不足 10% 提升至 30% 以上,成为正畸市场的核心增长极。
此外,患者需求也从单一的 “排齐牙齿” 向 “功能 + 美观 + 颌面协调” 的综合需求升级,对治疗方案的个性化、精细化、数字化要求不断提高,倒逼正畸医生提升专业能力与诊疗水平。

(二)技术迭代驱动市场,正畸诊疗模式持续升级

正畸技术的快速革新是市场需求增长的核心动力,也推动了诊疗模式的全面升级。
传统固定矫治技术不断优化,托槽材质从金属向陶瓷、单晶迭代,弓丝材料的弹性与生物相容性大幅提升,治疗效率与患者舒适度显著改善;隐形矫治技术凭借数字化设计、个性化定制的优势,成为市场热点,国内隐形矫治品牌的市场份额持续扩大,带动正畸市场整体规模突破百亿;
早期矫治技术的发展,让错颌畸形的干预提前至儿童替牙期,通过功能矫治、肌功能训练等方式,降低了后期复杂正畸的概率,拓展了正畸的服务场景;支抗钉、数字化正畸(口扫、CBCT、3D 打印)等技术的应用,让正畸诊断更精准、治疗方案更个性化,进一步满足了患者的多元需求。
技术的升级不仅提升了正畸治疗的效果,也让更多患者愿意接受正畸治疗,推动市场规模持续增长。

(三)政策与健康意识双轮驱动,正畸行业规范化发展

国家层面持续将口腔健康纳入全民健康体系,《“健康中国 2030” 规划纲要》明确提出加强口腔卫生服务体系建设,各地卫健委出台政策鼓励口腔医疗机构规范化发展,推动正畸行业从 “粗放式增长” 向 “规范化发展” 转型。
同时,全民口腔健康宣教的普及,让大众对 “错颌畸形影响咬合功能、颌面发育、口腔健康” 的认知不断提升,正畸不再被视为 “单纯的美容项目”,而是被纳入口腔健康管理的重要环节。
患者对正畸治疗的专业性、规范性、安全性要求提高,倒逼行业提升服务质量,也让具备系统专业能力的正畸医生更受市场青睐。

(四)专业人才缺口凸显,精英培养成为行业刚需

我国正畸专业人才的供给与市场需求严重失衡,成为制约行业发展的核心瓶颈。据行业数据显示,我国口腔医生总数约25 万人,但专职正畸医生不足 2 万人,平均每 10 万人口仅拥有 1.4 名正畸医生,远低于发达国家水平(美国每 10 万人口拥有 5.6 名正畸医生)。
更严峻的是,多数正畸从业者缺乏系统的理论学习与规范的临床实操培训,存在 “重操作、轻理论”“重技术、轻沟通” 的问题,难以满足患者对个性化、精细化正畸治疗的需求,甚至因诊疗不规范引发医疗纠纷。尤其是基层口腔机构,正畸医生的专业能力参差不齐,诊疗风险较高。
因此,培养具备系统理论知识、扎实临床实操能力、良好医患沟通技巧与风险防控意识的精英正畸人才,成为正畸行业可持续发展的核心诉求,这也是博康泰正畸学科精英进修班应运而生的核心背景。

二、学员学习规划:循序渐进,理论与实操并重的精英培养体系

博康泰正畸学科精英进修班以“零起步培养临床型正畸精英” 为核心目标,依托孙海燕博士 20 年口腔综合临床工作经验与正畸专业博士的学术背景,设计了12 个月循序渐进、理论 + 实操深度融合的学习规划,从基础理论到临床实操,从病例分析到风险防控,全方位打造符合市场需求的正畸专业人才。

(一)学习规划核心逻辑:从基础到临床,循序渐进构建能力体系

进修班的总体规划遵循“基础夯实→技能提升→临床应用→综合考核” 的逻辑,每月聚焦 1 个重点模块,带领学员从正畸基础理论入手,逐步梳理核心知识体系,同步培养临床实操技能。
课程覆盖临床资料收集、治疗计划制定、医患沟通、基本操作、治疗流程设计、细节把控、病例分析复盘等全流程内容,让学员不仅掌握 “怎么做”,更理解 “为什么这么做”,学会筛选病例、合理设计方案、规避诊疗风险,最终实现 “一年学习后可有理有节地开展正畸治疗” 的目标。
在临床实操环节,进修班配备 Typtont 模型供学员模拟操作,让学员在模型上深刻体会正畸生物力学的效果,为临床实操打下坚实基础,避免直接在患者身上操作的风险,充分体现了 “安全、规范、科学” 的培养理念。
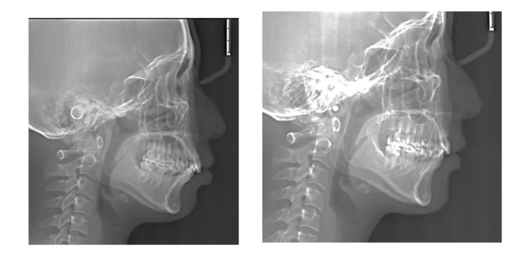
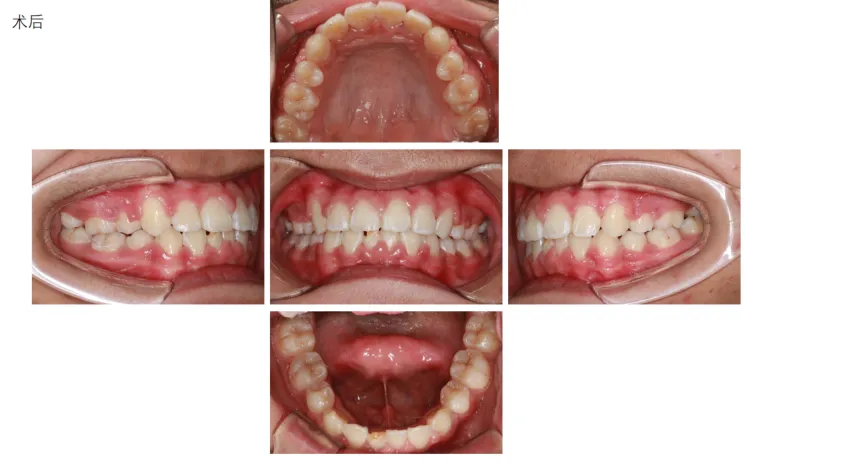
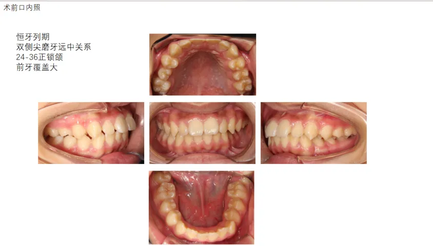
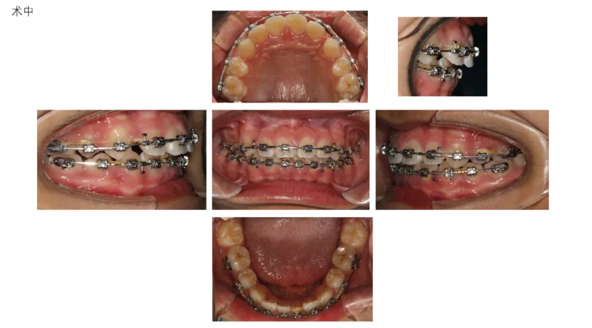
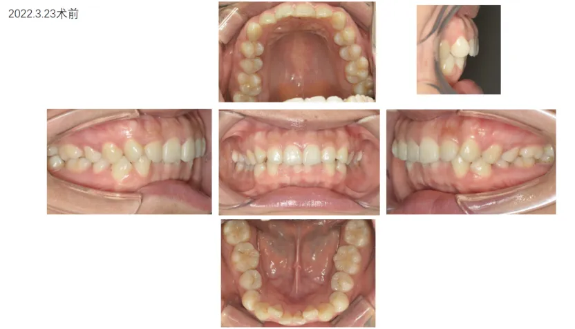
病例展示:

(二)12 个月分阶段学习规划:精准聚焦,层层递进突破核心难点

进修班将12 个月的学习划分为 12 个核心模块,每个模块聚焦 1 个关键知识点与实操技能,形成 “理论学习→实操训练→病例应用” 的闭环,具体规划如下:

1.1-3月:基础夯实与流程规范,搭建正畸诊疗框架

2.1月聚焦错颌畸形病因与分类,结合口内/口外全面临床检查实操,让学员掌握错颌畸形的诊断基础,学会规范的临床检查流程,为后续诊断与方案设计奠定基础;
2月重点讲解辅助检查(影像、模型、拍照)的应用与解读,CBCT、口扫、模型分析等数字化工具的应用是现代正畸的核心,学员需掌握辅助检查的操作规范与结果解读能力,实现精准诊断;
3月则聚焦流程管理、医患沟通技巧、医疗文书书写与医疗风险防控,正畸治疗周期长、医患沟通贯穿全程,医疗文书的规范书写与风险防控是避免医疗纠纷的关键,这一模块让学员树立“规范诊疗、安全行医”的意识,掌握医患沟通的核心技巧,学会规避诊疗风险。

3.4-6月:核心技术入门,掌握固定矫治与生物力学基础

4月学习固定唇侧矫治器基础操作(托槽粘接、结扎技术)及特点,固定矫治是正畸的基础技术,托槽粘接的精准度、结扎技术的规范性直接影响治疗效果,学员通过Typtont模型实操,掌握固定矫治的核心操作;
5月聚焦正畸生物力学基础及应用,生物力学是正畸治疗的核心理论,理解牙移动的生物力学原理,才能设计出科学的治疗方案,避免牙移动不当导致的并发症;
6月进行诊断思路训练与病例方案设计入门,结合基础理论与实操技能,学员开始学习分析病例、制定初步治疗方案,实现从“理论学习”到“临床应用”的过渡。

4.7-9月:进阶技术突破,覆盖隐形矫治与早期矫治

7月学习隐形矫治器操作要点与附件粘接,隐形矫治是当前市场热点,学员需掌握隐形矫治的方案设计、附件粘接、患者佩戴指导等核心技能;
8月聚焦弓丝弯制基础要点及应用,弓丝弯制是正畸医生的核心实操技能,不同弓丝的弯制技巧对应不同的牙移动需求,学员通过模型实操,掌握弓丝弯制的核心方法;
9月学习早期矫治的适应症及分类诊治,简单活动矫治器实操,早期矫治是正畸的重要分支,学员需掌握儿童替牙期错颌畸形的干预原则与活动矫治器的制作、佩戴指导,拓展服务场景。
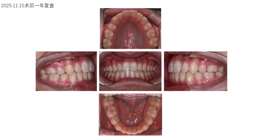
病例展示:

5.10-11月:复杂病例攻坚,提升临床诊疗能力

10月聚焦骨性错合畸形的代偿治疗难点与把控,骨性错颌畸形是正畸中的复杂病例,代偿治疗需精准把握治疗边界,学员需学习骨性错颌的诊断、治疗方案设计与风险把控;
11月学习支抗钉的理论与实操,支抗钉是正畸中增强支抗的核心技术,广泛应用于复杂病例,学员需掌握支抗钉的植入原理、操作规范与术后护理,提升复杂病例的治疗能力。

6.12月:综合考核与总结,完成从学员到临床医生的蜕变

12月进行理论+操作考核、病例汇报答辩与全年学习总结,通过口试、试卷、实操考核检验学员的理论知识与实操技能,要求学员完成20分钟的PPT汇报(读书报告、病例汇报或收获总结),最终颁发证书并合影留念。这一环节不仅是对全年学习的检验,更是让学员梳理知识体系、总结学习经验,为独立开展临床工作做好准备。

(三)实操与考核体系:科学评估,保障学习效果落地

进修班构建了“月度考核 + 年度总结” 的考核体系,确保学员真正掌握核心技能。
每月学习结束后,带教老师通过口头问答+ 试卷考核的方式检验学员的理论知识,满分100 分,80 分优秀、60-79 分及格、59 分以下不及格,未及格者需补学相关模块,确保基础扎实;
在实操环节,学员通过 Typtont 模型进行模拟操作,带教老师指导,纠正操作误区,让学员在模型上熟练掌握正畸生物力学的应用与核心操作技巧;
年度学习结束后,学员需完成 PPT 汇报,展示学习成果与病例分析能力,这一过程不仅锻炼了学员的总结与表达能力,也让带教老师全面评估学员的综合能力,为后续临床工作提供指导。
此外,进修班要求学员每月进科学习 3 天,保证充足的学习时间,全程参与临床工作,从观摩到配合、再到简单实操,逐步提升临床能力,优秀者可参与简单实操,实现 “学中做、做中学”。
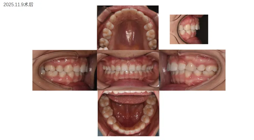
病例展示:

(四)规范与要求:医德医风与专业能力并重,培养合格临床人才

正畸治疗不仅是技术活,更是良心活,进修班制定了严格的限制与规定,从医德医风、执业规范、知识产权保护等方面,培养学员的职业素养:
1.准入规范:线上面试、择优录取,确保学员具备基本的口腔医学基础与学习意愿;
2.执业要求:学员进科前需办理执业注册,合法行医,避免执业风险;
3.医德医风:尊重患者权益、保护患者隐私,掌握医患沟通技巧,避免医疗纠纷;服从院区管理,规范着装、文明行医;
4.知识产权与隐私保护:严禁偷盗病历资料、照片、课件等涉及患者隐私与知识产权的资料,树立法律意识;
5.出勤与纪律:保证出勤时间,不迟到早退,全程参与临床工作;有全局意识,若出现客诉三次以上或导致严重后果,将被责令清退;
6.诊疗规范:诊间请教老师需不影响老师工作,回避患者及家属,不随意拍照录像,避免侵权;能力达标后可配合做助手,优秀者可进行简单实操,循序渐进提升临床能力。
这些规定不仅保障了进修班的教学秩序,更让学员树立“规范行医、安全行医” 的职业理念,成为具备专业能力与职业素养的合格正畸医生。

(五)学习后的职业发展:从入门到精通,满足市场人才需求

经过12 个月的系统学习,学员将完成从 “正畸入门者” 到 “具备独立开展正畸治疗能力的临床医生” 的蜕变。
基础扎实的学员可在基层口腔机构开展常规正畸治疗(固定矫治、简单隐形矫治、早期矫治),优秀者可进一步学习复杂病例(骨性错颌、支抗钉应用等)的诊疗技术,成为机构的正畸核心骨干;对于有更高职业追求的学员,可依托博康泰医生集团的资源,参与更多学术交流与病例研讨,持续提升专业能力,向正畸专家方向发展。
这一职业发展路径,既解决了学员的就业与成长需求,也填补了正畸行业的人才缺口,实现了个人发展与行业发展的双赢。

三、进修班的行业价值:师资赋能与体系化培养,助力正畸行业规范化发展

(一)资深师资赋能,传递临床实战经验

进修班的核心竞争力在于资深的师资力量
课程讲师孙海燕博士是第四军医大学正畸专业博士,拥有20 年口腔综合临床工作经验,任职于解放军总医院第五医学中心南院区(原解放军 307 医院)口腔正畸科,同时是世界正畸联盟会员、中华口腔医学会正畸专委会会员、北京市口腔医学会正畸专委会会员,还是正雅、可丽尔博士等隐形矫治品牌的技术讲师,兼具深厚的学术功底与丰富的临床实操经验。
孙海燕博士将 20 年的临床经验融入课程教学,让学员不仅学习理论知识,更掌握临床实操的 “干货” 与技巧,避免 “纸上谈兵”,真正实现 “学以致用”。

(二)资源整合赋能,拓展学习边界

博康泰医生集团与极周在线的合作,整合了线下临床实操资源与线上学术资源,学员可通过极周在线的平台,获取更多正畸学术资料、病例研讨、专家直播等资源,持续拓展学习边界;进修班的学员还可加入博康泰的正畸医生社群,与同行交流学习、分享病例,形成持续学习的氛围。
这种“线下实操 + 线上赋能 + 社群交流” 的培养模式,让学员的学习不仅局限于 12 个月的进修期,更形成了终身学习的职业习惯,助力学员在正畸行业持续成长。

(三)推动行业规范化,填补人才缺口

从行业层面来看,该进修班通过体系化的人才培养,为正畸行业输送了大量具备规范诊疗能力的精英人才,缓解了行业人才缺口;同时,进修班强调“规范诊疗、风险防控、医患沟通”,推动正畸行业向规范化、精细化方向发展,提升了行业整体服务质量;此外,进修班覆盖早期矫治、固定矫治、隐形矫治、复杂病例等全领域技术,助力正畸技术的普及与推广,让更多患者享受到专业、规范的正畸治疗。

四、结语

正畸市场的爆发式增长,为口腔从业者带来了前所未有的发展机遇,也对正畸医生的专业能力提出了更高要求。博康泰正畸学科精英进修班以“培养临床型正畸精英” 为使命,凭借科学的学习规划、资深的师资力量、完善的考核体系与严格的执业规范,为正畸从业者搭建了从入门到精通的成长阶梯。
对于有志于投身正畸行业的口腔医生而言,加入该进修班,不仅能系统学习正畸核心理论与实操技能,更能树立规范行医的职业理念,实现个人职业能力的快速提升;对于正畸行业而言,该进修班的人才培养模式,为行业可持续发展注入了新鲜血液,推动正畸行业向更规范、更专业、更精细化的方向迈进。
未来,随着正畸市场的持续发展与人才培养体系的不断完善,我国正畸行业将迎来更广阔的发展前景,而每一位经过系统培养的正畸精英,都将成为守护国民口腔健康、传递口腔美学的重要力量。

加入极周大会员

学习更多实操+理论课程

诊疗理念与计划、口外、口修、牙周、口腔摄影、仪器耗材及技术、口内、种植、正畸、儿牙、影像学、管理学院、护士站、急救... ...

300+期理论+实操技术直播,极周会员可无限回看!

👇点击查看课程,了解详情👇

点赞 收藏 分享

最新文章

随机文章

基本 文件 流程 错误 SQL 调试
  1. 请求信息 : 2026-02-03 17:22:36 HTTP/2.0 GET : https://g.mffb.com.cn/a/471855.html
  2. 运行时间 : 0.086986s [ 吞吐率:11.50req/s ] 内存消耗:4,610.70kb 文件加载:140
  3. 缓存信息 : 0 reads,0 writes
  4. 会话信息 : SESSION_ID=4e801786f8a7d15c6edbedce551ba496
  1. /yingpanguazai/ssd/ssd1/www/g.mffb.com.cn/public/index.php ( 0.79 KB )
  2. /yingpanguazai/ssd/ssd1/www/g.mffb.com.cn/vendor/autoload.php ( 0.17 KB )
  3. /yingpanguazai/ssd/ssd1/www/g.mffb.com.cn/vendor/composer/autoload_real.php ( 2.49 KB )
  4. /yingpanguazai/ssd/ssd1/www/g.mffb.com.cn/vendor/composer/platform_check.php ( 0.90 KB )
  5. /yingpanguazai/ssd/ssd1/www/g.mffb.com.cn/vendor/composer/ClassLoader.php ( 14.03 KB )
  6. /yingpanguazai/ssd/ssd1/www/g.mffb.com.cn/vendor/composer/autoload_static.php ( 4.90 KB )
  7. /yingpanguazai/ssd/ssd1/www/g.mffb.com.cn/vendor/topthink/think-helper/src/helper.php ( 8.34 KB )
  8. /yingpanguazai/ssd/ssd1/www/g.mffb.com.cn/vendor/topthink/think-validate/src/helper.php ( 2.19 KB )
  9. /yingpanguazai/ssd/ssd1/www/g.mffb.com.cn/vendor/topthink/think-orm/src/helper.php ( 1.47 KB )
  10. /yingpanguazai/ssd/ssd1/www/g.mffb.com.cn/vendor/topthink/think-orm/stubs/load_stubs.php ( 0.16 KB )
  11. /yingpanguazai/ssd/ssd1/www/g.mffb.com.cn/vendor/topthink/framework/src/think/Exception.php ( 1.69 KB )
  12. /yingpanguazai/ssd/ssd1/www/g.mffb.com.cn/vendor/topthink/think-container/src/Facade.php ( 2.71 KB )
  13. /yingpanguazai/ssd/ssd1/www/g.mffb.com.cn/vendor/symfony/deprecation-contracts/function.php ( 0.99 KB )
  14. /yingpanguazai/ssd/ssd1/www/g.mffb.com.cn/vendor/symfony/polyfill-mbstring/bootstrap.php ( 8.26 KB )
  15. /yingpanguazai/ssd/ssd1/www/g.mffb.com.cn/vendor/symfony/polyfill-mbstring/bootstrap80.php ( 9.78 KB )
  16. /yingpanguazai/ssd/ssd1/www/g.mffb.com.cn/vendor/symfony/var-dumper/Resources/functions/dump.php ( 1.49 KB )
  17. /yingpanguazai/ssd/ssd1/www/g.mffb.com.cn/vendor/topthink/think-dumper/src/helper.php ( 0.18 KB )
  18. /yingpanguazai/ssd/ssd1/www/g.mffb.com.cn/vendor/symfony/var-dumper/VarDumper.php ( 4.30 KB )
  19. /yingpanguazai/ssd/ssd1/www/g.mffb.com.cn/vendor/topthink/framework/src/think/App.php ( 15.30 KB )
  20. /yingpanguazai/ssd/ssd1/www/g.mffb.com.cn/vendor/topthink/think-container/src/Container.php ( 15.76 KB )
  21. /yingpanguazai/ssd/ssd1/www/g.mffb.com.cn/vendor/psr/container/src/ContainerInterface.php ( 1.02 KB )
  22. /yingpanguazai/ssd/ssd1/www/g.mffb.com.cn/app/provider.php ( 0.19 KB )
  23. /yingpanguazai/ssd/ssd1/www/g.mffb.com.cn/vendor/topthink/framework/src/think/Http.php ( 6.04 KB )
  24. /yingpanguazai/ssd/ssd1/www/g.mffb.com.cn/vendor/topthink/think-helper/src/helper/Str.php ( 7.29 KB )
  25. /yingpanguazai/ssd/ssd1/www/g.mffb.com.cn/vendor/topthink/framework/src/think/Env.php ( 4.68 KB )
  26. /yingpanguazai/ssd/ssd1/www/g.mffb.com.cn/app/common.php ( 0.03 KB )
  27. /yingpanguazai/ssd/ssd1/www/g.mffb.com.cn/vendor/topthink/framework/src/helper.php ( 18.78 KB )
  28. /yingpanguazai/ssd/ssd1/www/g.mffb.com.cn/vendor/topthink/framework/src/think/Config.php ( 5.54 KB )
  29. /yingpanguazai/ssd/ssd1/www/g.mffb.com.cn/config/app.php ( 0.95 KB )
  30. /yingpanguazai/ssd/ssd1/www/g.mffb.com.cn/config/cache.php ( 0.78 KB )
  31. /yingpanguazai/ssd/ssd1/www/g.mffb.com.cn/config/console.php ( 0.23 KB )
  32. /yingpanguazai/ssd/ssd1/www/g.mffb.com.cn/config/cookie.php ( 0.56 KB )
  33. /yingpanguazai/ssd/ssd1/www/g.mffb.com.cn/config/database.php ( 2.48 KB )
  34. /yingpanguazai/ssd/ssd1/www/g.mffb.com.cn/vendor/topthink/framework/src/think/facade/Env.php ( 1.67 KB )
  35. /yingpanguazai/ssd/ssd1/www/g.mffb.com.cn/config/filesystem.php ( 0.61 KB )
  36. /yingpanguazai/ssd/ssd1/www/g.mffb.com.cn/config/lang.php ( 0.91 KB )
  37. /yingpanguazai/ssd/ssd1/www/g.mffb.com.cn/config/log.php ( 1.35 KB )
  38. /yingpanguazai/ssd/ssd1/www/g.mffb.com.cn/config/middleware.php ( 0.19 KB )
  39. /yingpanguazai/ssd/ssd1/www/g.mffb.com.cn/config/route.php ( 1.89 KB )
  40. /yingpanguazai/ssd/ssd1/www/g.mffb.com.cn/config/session.php ( 0.57 KB )
  41. /yingpanguazai/ssd/ssd1/www/g.mffb.com.cn/config/trace.php ( 0.34 KB )
  42. /yingpanguazai/ssd/ssd1/www/g.mffb.com.cn/config/view.php ( 0.82 KB )
  43. /yingpanguazai/ssd/ssd1/www/g.mffb.com.cn/app/event.php ( 0.25 KB )
  44. /yingpanguazai/ssd/ssd1/www/g.mffb.com.cn/vendor/topthink/framework/src/think/Event.php ( 7.67 KB )
  45. /yingpanguazai/ssd/ssd1/www/g.mffb.com.cn/app/service.php ( 0.13 KB )
  46. /yingpanguazai/ssd/ssd1/www/g.mffb.com.cn/app/AppService.php ( 0.26 KB )
  47. /yingpanguazai/ssd/ssd1/www/g.mffb.com.cn/vendor/topthink/framework/src/think/Service.php ( 1.64 KB )
  48. /yingpanguazai/ssd/ssd1/www/g.mffb.com.cn/vendor/topthink/framework/src/think/Lang.php ( 7.35 KB )
  49. /yingpanguazai/ssd/ssd1/www/g.mffb.com.cn/vendor/topthink/framework/src/lang/zh-cn.php ( 13.70 KB )
  50. /yingpanguazai/ssd/ssd1/www/g.mffb.com.cn/vendor/topthink/framework/src/think/initializer/Error.php ( 3.31 KB )
  51. /yingpanguazai/ssd/ssd1/www/g.mffb.com.cn/vendor/topthink/framework/src/think/initializer/RegisterService.php ( 1.33 KB )
  52. /yingpanguazai/ssd/ssd1/www/g.mffb.com.cn/vendor/services.php ( 0.14 KB )
  53. /yingpanguazai/ssd/ssd1/www/g.mffb.com.cn/vendor/topthink/framework/src/think/service/PaginatorService.php ( 1.52 KB )
  54. /yingpanguazai/ssd/ssd1/www/g.mffb.com.cn/vendor/topthink/framework/src/think/service/ValidateService.php ( 0.99 KB )
  55. /yingpanguazai/ssd/ssd1/www/g.mffb.com.cn/vendor/topthink/framework/src/think/service/ModelService.php ( 2.04 KB )
  56. /yingpanguazai/ssd/ssd1/www/g.mffb.com.cn/vendor/topthink/think-trace/src/Service.php ( 0.77 KB )
  57. /yingpanguazai/ssd/ssd1/www/g.mffb.com.cn/vendor/topthink/framework/src/think/Middleware.php ( 6.72 KB )
  58. /yingpanguazai/ssd/ssd1/www/g.mffb.com.cn/vendor/topthink/framework/src/think/initializer/BootService.php ( 0.77 KB )
  59. /yingpanguazai/ssd/ssd1/www/g.mffb.com.cn/vendor/topthink/think-orm/src/Paginator.php ( 11.86 KB )
  60. /yingpanguazai/ssd/ssd1/www/g.mffb.com.cn/vendor/topthink/think-validate/src/Validate.php ( 63.20 KB )
  61. /yingpanguazai/ssd/ssd1/www/g.mffb.com.cn/vendor/topthink/think-orm/src/Model.php ( 23.55 KB )
  62. /yingpanguazai/ssd/ssd1/www/g.mffb.com.cn/vendor/topthink/think-orm/src/model/concern/Attribute.php ( 21.05 KB )
  63. /yingpanguazai/ssd/ssd1/www/g.mffb.com.cn/vendor/topthink/think-orm/src/model/concern/AutoWriteData.php ( 4.21 KB )
  64. /yingpanguazai/ssd/ssd1/www/g.mffb.com.cn/vendor/topthink/think-orm/src/model/concern/Conversion.php ( 6.44 KB )
  65. /yingpanguazai/ssd/ssd1/www/g.mffb.com.cn/vendor/topthink/think-orm/src/model/concern/DbConnect.php ( 5.16 KB )
  66. /yingpanguazai/ssd/ssd1/www/g.mffb.com.cn/vendor/topthink/think-orm/src/model/concern/ModelEvent.php ( 2.33 KB )
  67. /yingpanguazai/ssd/ssd1/www/g.mffb.com.cn/vendor/topthink/think-orm/src/model/concern/RelationShip.php ( 28.29 KB )
  68. /yingpanguazai/ssd/ssd1/www/g.mffb.com.cn/vendor/topthink/think-helper/src/contract/Arrayable.php ( 0.09 KB )
  69. /yingpanguazai/ssd/ssd1/www/g.mffb.com.cn/vendor/topthink/think-helper/src/contract/Jsonable.php ( 0.13 KB )
  70. /yingpanguazai/ssd/ssd1/www/g.mffb.com.cn/vendor/topthink/think-orm/src/model/contract/Modelable.php ( 0.09 KB )
  71. /yingpanguazai/ssd/ssd1/www/g.mffb.com.cn/vendor/topthink/framework/src/think/Db.php ( 2.88 KB )
  72. /yingpanguazai/ssd/ssd1/www/g.mffb.com.cn/vendor/topthink/think-orm/src/DbManager.php ( 8.52 KB )
  73. /yingpanguazai/ssd/ssd1/www/g.mffb.com.cn/vendor/topthink/framework/src/think/Log.php ( 6.28 KB )
  74. /yingpanguazai/ssd/ssd1/www/g.mffb.com.cn/vendor/topthink/framework/src/think/Manager.php ( 3.92 KB )
  75. /yingpanguazai/ssd/ssd1/www/g.mffb.com.cn/vendor/psr/log/src/LoggerTrait.php ( 2.69 KB )
  76. /yingpanguazai/ssd/ssd1/www/g.mffb.com.cn/vendor/psr/log/src/LoggerInterface.php ( 2.71 KB )
  77. /yingpanguazai/ssd/ssd1/www/g.mffb.com.cn/vendor/topthink/framework/src/think/Cache.php ( 4.92 KB )
  78. /yingpanguazai/ssd/ssd1/www/g.mffb.com.cn/vendor/psr/simple-cache/src/CacheInterface.php ( 4.71 KB )
  79. /yingpanguazai/ssd/ssd1/www/g.mffb.com.cn/vendor/topthink/think-helper/src/helper/Arr.php ( 16.63 KB )
  80. /yingpanguazai/ssd/ssd1/www/g.mffb.com.cn/vendor/topthink/framework/src/think/cache/driver/File.php ( 7.84 KB )
  81. /yingpanguazai/ssd/ssd1/www/g.mffb.com.cn/vendor/topthink/framework/src/think/cache/Driver.php ( 9.03 KB )
  82. /yingpanguazai/ssd/ssd1/www/g.mffb.com.cn/vendor/topthink/framework/src/think/contract/CacheHandlerInterface.php ( 1.99 KB )
  83. /yingpanguazai/ssd/ssd1/www/g.mffb.com.cn/app/Request.php ( 0.09 KB )
  84. /yingpanguazai/ssd/ssd1/www/g.mffb.com.cn/vendor/topthink/framework/src/think/Request.php ( 55.78 KB )
  85. /yingpanguazai/ssd/ssd1/www/g.mffb.com.cn/app/middleware.php ( 0.25 KB )
  86. /yingpanguazai/ssd/ssd1/www/g.mffb.com.cn/vendor/topthink/framework/src/think/Pipeline.php ( 2.61 KB )
  87. /yingpanguazai/ssd/ssd1/www/g.mffb.com.cn/vendor/topthink/think-trace/src/TraceDebug.php ( 3.40 KB )
  88. /yingpanguazai/ssd/ssd1/www/g.mffb.com.cn/vendor/topthink/framework/src/think/middleware/SessionInit.php ( 1.94 KB )
  89. /yingpanguazai/ssd/ssd1/www/g.mffb.com.cn/vendor/topthink/framework/src/think/Session.php ( 1.80 KB )
  90. /yingpanguazai/ssd/ssd1/www/g.mffb.com.cn/vendor/topthink/framework/src/think/session/driver/File.php ( 6.27 KB )
  91. /yingpanguazai/ssd/ssd1/www/g.mffb.com.cn/vendor/topthink/framework/src/think/contract/SessionHandlerInterface.php ( 0.87 KB )
  92. /yingpanguazai/ssd/ssd1/www/g.mffb.com.cn/vendor/topthink/framework/src/think/session/Store.php ( 7.12 KB )
  93. /yingpanguazai/ssd/ssd1/www/g.mffb.com.cn/vendor/topthink/framework/src/think/Route.php ( 23.73 KB )
  94. /yingpanguazai/ssd/ssd1/www/g.mffb.com.cn/vendor/topthink/framework/src/think/route/RuleName.php ( 5.75 KB )
  95. /yingpanguazai/ssd/ssd1/www/g.mffb.com.cn/vendor/topthink/framework/src/think/route/Domain.php ( 2.53 KB )
  96. /yingpanguazai/ssd/ssd1/www/g.mffb.com.cn/vendor/topthink/framework/src/think/route/RuleGroup.php ( 22.43 KB )
  97. /yingpanguazai/ssd/ssd1/www/g.mffb.com.cn/vendor/topthink/framework/src/think/route/Rule.php ( 26.95 KB )
  98. /yingpanguazai/ssd/ssd1/www/g.mffb.com.cn/vendor/topthink/framework/src/think/route/RuleItem.php ( 9.78 KB )
  99. /yingpanguazai/ssd/ssd1/www/g.mffb.com.cn/route/app.php ( 1.72 KB )
  100. /yingpanguazai/ssd/ssd1/www/g.mffb.com.cn/vendor/topthink/framework/src/think/facade/Route.php ( 4.70 KB )
  101. /yingpanguazai/ssd/ssd1/www/g.mffb.com.cn/vendor/topthink/framework/src/think/route/dispatch/Controller.php ( 4.74 KB )
  102. /yingpanguazai/ssd/ssd1/www/g.mffb.com.cn/vendor/topthink/framework/src/think/route/Dispatch.php ( 10.44 KB )
  103. /yingpanguazai/ssd/ssd1/www/g.mffb.com.cn/app/controller/Index.php ( 4.81 KB )
  104. /yingpanguazai/ssd/ssd1/www/g.mffb.com.cn/app/BaseController.php ( 2.05 KB )
  105. /yingpanguazai/ssd/ssd1/www/g.mffb.com.cn/vendor/topthink/think-orm/src/facade/Db.php ( 0.93 KB )
  106. /yingpanguazai/ssd/ssd1/www/g.mffb.com.cn/vendor/topthink/think-orm/src/db/connector/Mysql.php ( 5.44 KB )
  107. /yingpanguazai/ssd/ssd1/www/g.mffb.com.cn/vendor/topthink/think-orm/src/db/PDOConnection.php ( 52.47 KB )
  108. /yingpanguazai/ssd/ssd1/www/g.mffb.com.cn/vendor/topthink/think-orm/src/db/Connection.php ( 8.39 KB )
  109. /yingpanguazai/ssd/ssd1/www/g.mffb.com.cn/vendor/topthink/think-orm/src/db/ConnectionInterface.php ( 4.57 KB )
  110. /yingpanguazai/ssd/ssd1/www/g.mffb.com.cn/vendor/topthink/think-orm/src/db/builder/Mysql.php ( 16.58 KB )
  111. /yingpanguazai/ssd/ssd1/www/g.mffb.com.cn/vendor/topthink/think-orm/src/db/Builder.php ( 24.06 KB )
  112. /yingpanguazai/ssd/ssd1/www/g.mffb.com.cn/vendor/topthink/think-orm/src/db/BaseBuilder.php ( 27.50 KB )
  113. /yingpanguazai/ssd/ssd1/www/g.mffb.com.cn/vendor/topthink/think-orm/src/db/Query.php ( 15.71 KB )
  114. /yingpanguazai/ssd/ssd1/www/g.mffb.com.cn/vendor/topthink/think-orm/src/db/BaseQuery.php ( 45.13 KB )
  115. /yingpanguazai/ssd/ssd1/www/g.mffb.com.cn/vendor/topthink/think-orm/src/db/concern/TimeFieldQuery.php ( 7.43 KB )
  116. /yingpanguazai/ssd/ssd1/www/g.mffb.com.cn/vendor/topthink/think-orm/src/db/concern/AggregateQuery.php ( 3.26 KB )
  117. /yingpanguazai/ssd/ssd1/www/g.mffb.com.cn/vendor/topthink/think-orm/src/db/concern/ModelRelationQuery.php ( 20.07 KB )
  118. /yingpanguazai/ssd/ssd1/www/g.mffb.com.cn/vendor/topthink/think-orm/src/db/concern/ParamsBind.php ( 3.66 KB )
  119. /yingpanguazai/ssd/ssd1/www/g.mffb.com.cn/vendor/topthink/think-orm/src/db/concern/ResultOperation.php ( 7.01 KB )
  120. /yingpanguazai/ssd/ssd1/www/g.mffb.com.cn/vendor/topthink/think-orm/src/db/concern/WhereQuery.php ( 19.37 KB )
  121. /yingpanguazai/ssd/ssd1/www/g.mffb.com.cn/vendor/topthink/think-orm/src/db/concern/JoinAndViewQuery.php ( 7.11 KB )
  122. /yingpanguazai/ssd/ssd1/www/g.mffb.com.cn/vendor/topthink/think-orm/src/db/concern/TableFieldInfo.php ( 2.63 KB )
  123. /yingpanguazai/ssd/ssd1/www/g.mffb.com.cn/vendor/topthink/think-orm/src/db/concern/Transaction.php ( 2.77 KB )
  124. /yingpanguazai/ssd/ssd1/www/g.mffb.com.cn/vendor/topthink/framework/src/think/log/driver/File.php ( 5.96 KB )
  125. /yingpanguazai/ssd/ssd1/www/g.mffb.com.cn/vendor/topthink/framework/src/think/contract/LogHandlerInterface.php ( 0.86 KB )
  126. /yingpanguazai/ssd/ssd1/www/g.mffb.com.cn/vendor/topthink/framework/src/think/log/Channel.php ( 3.89 KB )
  127. /yingpanguazai/ssd/ssd1/www/g.mffb.com.cn/vendor/topthink/framework/src/think/event/LogRecord.php ( 1.02 KB )
  128. /yingpanguazai/ssd/ssd1/www/g.mffb.com.cn/vendor/topthink/think-helper/src/Collection.php ( 16.47 KB )
  129. /yingpanguazai/ssd/ssd1/www/g.mffb.com.cn/vendor/topthink/framework/src/think/facade/View.php ( 1.70 KB )
  130. /yingpanguazai/ssd/ssd1/www/g.mffb.com.cn/vendor/topthink/framework/src/think/View.php ( 4.39 KB )
  131. /yingpanguazai/ssd/ssd1/www/g.mffb.com.cn/vendor/topthink/framework/src/think/Response.php ( 8.81 KB )
  132. /yingpanguazai/ssd/ssd1/www/g.mffb.com.cn/vendor/topthink/framework/src/think/response/View.php ( 3.29 KB )
  133. /yingpanguazai/ssd/ssd1/www/g.mffb.com.cn/vendor/topthink/framework/src/think/Cookie.php ( 6.06 KB )
  134. /yingpanguazai/ssd/ssd1/www/g.mffb.com.cn/vendor/topthink/think-view/src/Think.php ( 8.38 KB )
  135. /yingpanguazai/ssd/ssd1/www/g.mffb.com.cn/vendor/topthink/framework/src/think/contract/TemplateHandlerInterface.php ( 1.60 KB )
  136. /yingpanguazai/ssd/ssd1/www/g.mffb.com.cn/vendor/topthink/think-template/src/Template.php ( 46.61 KB )
  137. /yingpanguazai/ssd/ssd1/www/g.mffb.com.cn/vendor/topthink/think-template/src/template/driver/File.php ( 2.41 KB )
  138. /yingpanguazai/ssd/ssd1/www/g.mffb.com.cn/vendor/topthink/think-template/src/template/contract/DriverInterface.php ( 0.86 KB )
  139. /yingpanguazai/ssd/ssd1/www/g.mffb.com.cn/runtime/temp/bd49d2895de2e94222a5e70fe25d749e.php ( 11.98 KB )
  140. /yingpanguazai/ssd/ssd1/www/g.mffb.com.cn/vendor/topthink/think-trace/src/Html.php ( 4.42 KB )
  1. CONNECT:[ UseTime:0.000576s ] mysql:host=127.0.0.1;port=3306;dbname=g_mffb;charset=utf8mb4
  2. SHOW FULL COLUMNS FROM `fenlei` [ RunTime:0.000879s ]
  3. SELECT * FROM `fenlei` WHERE `fid` = 0 [ RunTime:0.000350s ]
  4. SELECT * FROM `fenlei` WHERE `fid` = 63 [ RunTime:0.000299s ]
  5. SHOW FULL COLUMNS FROM `set` [ RunTime:0.000496s ]
  6. SELECT * FROM `set` [ RunTime:0.000181s ]
  7. SHOW FULL COLUMNS FROM `article` [ RunTime:0.000550s ]
  8. SELECT * FROM `article` WHERE `id` = 471855 LIMIT 1 [ RunTime:0.000478s ]
  9. UPDATE `article` SET `lasttime` = 1770110556 WHERE `id` = 471855 [ RunTime:0.002348s ]
  10. SELECT * FROM `fenlei` WHERE `id` = 64 LIMIT 1 [ RunTime:0.000223s ]
  11. SELECT * FROM `article` WHERE `id` < 471855 ORDER BY `id` DESC LIMIT 1 [ RunTime:0.000402s ]
  12. SELECT * FROM `article` WHERE `id` > 471855 ORDER BY `id` ASC LIMIT 1 [ RunTime:0.000416s ]
  13. SELECT * FROM `article` WHERE `id` < 471855 ORDER BY `id` DESC LIMIT 10 [ RunTime:0.000569s ]
  14. SELECT * FROM `article` WHERE `id` < 471855 ORDER BY `id` DESC LIMIT 10,10 [ RunTime:0.004639s ]
  15. SELECT * FROM `article` WHERE `id` < 471855 ORDER BY `id` DESC LIMIT 20,10 [ RunTime:0.004291s ]
0.088712s